Breathlessness Station
Author – Dr Leyya Adam Editor – Dr Daniel Arbide
Last updated 18/05/2025
Table of Contents
How to Use
Candidate:
- Read the brief below (1 minute).
- Take a history (6 minutes).
- Answer viva questions (3 minutes).
Patient/Examiner:
- Familiarise yourself with the history & examination findings
- After completing the history, viva the candidate
Candidate Brief
You are a FY1 Doctor working the acute medical unit. Sarah Khan, a 20-year-old woman presents with acute breathlessness and wheeze.
Please take a history, perform a focused examination and answer the subsequent questions.
Patient Name: Sarah Khan
Location: Acute Medical Unit
- History
- Examination
- Viva
Presenting Complaint:
Shortness of breath and wheeze
Site: Central chest
“It feels like a tight band right across the middle of my chest.”
Onset: 1 day ago
“It started yesterday morning after I came back from a run, but it’s definitely got worse since last night.”
Character: Tight, constricting feeling
“It’s not painful exactly — more like a squeezing or tight feeling.”
Radiation: No radiation
“It just stays in my chest, it doesn’t go anywhere else.”
Associated symptoms: Wheeze, dry cough, breathlessness
“I’ve been wheezing a lot, and there’s this dry cough that won’t go away.”
“Even just walking across the room makes me feel breathless.”
Time: Gradually worsening over 24 hours
“It came on slowly but got worse by the evening – I couldn’t sleep properly last night because of it.”
Exacerbating/Alleviating factors: Triggered by cold air, worsened with exertion, partially relieved by inhaler
“Going outside in the cold makes it worse.”
“I’ve been using my blue inhaler more than usual — it helps for a bit but doesn’t last long.”
Severity: Moderate
“I can still talk and have a conversation, but I get puffed out really easily. It’s a bit scary.”
Systemic Symptoms:
- No fever, no recent viral infections
- No chest pain, palpitations or dizziness
- No haemoptysis
- No headache, drowsiness, confusion or LOC
- No recent travel
- No bowel or urinary symptoms, no abdominal pain
- No weight loss, night sweats or lymphadenopathy
Past Medical History:
- Asthma diagnosed at age 9
- One hospital admission for asthma at age 18
- Hayfever
Drug History:
- Beclomethasone 100mcg BD (poor adherence)
- Salbutamol PRN – using it 3–4 times daily during last week
- Not taking any form of contraception
Allergies:
- Dust mite
Family History:
- Mother suffers from hayfever and younger sister has eczema
Social History:
- University student
- Lives in shared flat with damp on bathroom walls
- Non-smoker
- Known allergy to dust mites
- No pets
Ideas, Concerns, and Expectations:
- Ideas: “I think it’s my asthma flaring up”
- Concerns: “I don’t want it to get worse or end up in hospital again”
- Expectations: “I’d like some treatment to settle it so I don’t have to miss lectures”
Observations:
- Respirations (Breaths/min): 23
- Oxygen Saturation (%): 94%
- Air or Oxygen: Air
- Blood Pressure (mmHg): 118/76
- Pulse (Beats/min): 102
- Consciousness (AVPU): Alert
- Temperature (Celsius): 36.8°C
NEWS Total Score: 4
Physical Examination:
General:
- Alert, appears moderately breathless, good inspiratory effort
- Speaking in full sentences
- No signs of airway compromise e.g. stridor
- No mucosal oedema or rashes
- Mild use of accessory muscles
- No cyanosis
Chest:
- Chest expansion equal, no tracheal deviation
- Percussion: Resonant equally and bilaterally
- Auscultation: Bilateral air entry, widespread bilateral expiratory wheeze
- No crackles or bronchial breathing
Bedside Tests:
- PEFR: 220 L/min (approx. 55% predicted)
Examiner questions:
1a. What is your working diagnosis and how would you classify the severity?
This presentation is in keeping with a moderate asthma exacerbation – PEFR 50–75% of predicted, normal speech, SpO₂ ≥92%, RR <25.
PMH of asthma and family history of atopy points strongly towards this. Examination findings of widespread wheeze and chest tightness without fever, chest pain or productive cough makes asthma exacerbation most likely.
1b. What are your differentials?
- Pneumonia - less likely clinically due to non-productive cough and absence of fever or malaise. Would need ruling out with CXR.
- Viral infection/Covid - no history of fever or malaise, features don’t point towards infective aetiology and PMH makes asthma most likely.
- PE - typically acute dyspnoea with pleuritic chest pain. History may mention important clues to VTE risk factors e.g. COCP, long-haul flight, recent surgery, active malignancy etc.
- Pneumothorax - typically includes chest pain as well as acute dyspnoea. Would need ruling out with CXR.
- Anaphylaxis - the onset is not acute enough (started the day before). No clear trigger in history and lacks characteristic clinical findings such as rash, oedema, stridor and airway compromise, shock.
- COPD exacerbation - less likely in a 20y old with no history of smoking.
2. What initial investigations (a) and treatments (b) would you consider? (Interpret investigations which are asked for and provided below)
a. Investigations
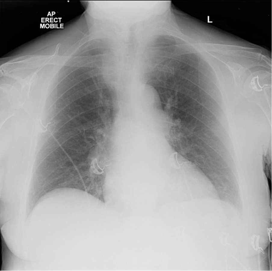
- CXR to rule out other causes if diagnostic uncertainty e.g. infection, pneumothorax

Case courtesy of Craig Hacking, Radiopaedia.org, rID: 41942
No evidence of focal consolidation or pneumothorax, chest clear. Normal CXR.
- ABG to look at PO2, PCO2 and pH
Respiratory alkalosis with reduced PCO2, reassuring and as expected in moderate asthma attack. Normal PO2 rules out hypoxaemia. Normal electrolytes and lactate.
- ECG

Source: CardioNetworks: Sinustachycardia.jpg. Author: CardioNetworks: Drj. CC BY-SA 3.0. Wikimedia Commons.
Sinus tachycardia - approx 115bpm. Regular rhythm, nil axis deviation, normal ECG segments.
Other
- Peak flow (as above)
- Bloods - including D-dimer to rule out PE
- Viral swab
- Monitor PEFR serially, as well as obs (RR, HR, SpO₂)
b. Management
- O2 - titrate as appropriate to maintain sats > 94%
- High-dose salbutamol via spacer or nebuliser
- Consider nebulised ipratropium bromide if no response
- Oral corticosteroids: prednisolone 40–50 mg daily for 5 days
- Consider aminophylline and magnesium sulphate if patient is not responding to above interventions - escalate to senior urgently
3. What features would indicate the need for urgent escalation?
- PEFR <33%, SpO₂ <92%, silent chest, cyanosis, exhaustion
- Altered consciousness, hypotension
- Normal or rising PaCO₂, acidosis
- Poor response to bronchodilators
4. What would need to be arranged before discharge?
- PEFR >75% predicted or best
- Symptom resolution
- Weaned bronchodilators, no O2 dependence
- 5-day course of steroids
- Review inhaler technique
- Written asthma action plan
- Inform GP on discharge with GP follow-up in 48 hours
- Refer to asthma nurse or specialist
- British Thoracic Society. British guideline on the management of asthma: A national clinical guideline [Internet]. 2019 [cited 2025 May 17]. Available from: https://www.brit-thoracic.org.uk/document-library/clinical-information/asthma/btssign-asthma-guideline-2019/
- National Institute for Health and Care Excellence (NICE). Asthma: diagnosis, monitoring and chronic asthma management [NG80] [Internet]. 2021 [cited 2025 May 17]. Available from: https://www.nice.org.uk/guidance/ng80
- BMJ Best Practice. Acute asthma in adults [Internet]. BMJ Publishing Group; 2024 [cited 2025 May 17]. Available from: https://bestpractice.bmj.com/topics/en-gb/3000167