Abdominal Pain Station
Author – Sabrena Sulaiman Editor – Dr Daniel Arbide
Last updated 02/03/2025
Table of Contents
How to Use
Candidate:
- Read the brief below (1 minute).
- Take a history and perform a focused examination (6 minutes).
- Answer EITHER viva questions OR patient questions (3 minute).
Patient/Examiner:
- Familiarise yourself with the history & examination findings
- After completing the history, EITHER viva the candidate OR act as the patient
Candidate Brief
A 28 year old female has come to ED complaining of abdominal pain. You are the resident doctor who has been asked to clerk her. Please take history from the patient and answer questions at the end.
- Patient Name: Geum-Sook Kim (pronounced “Gyeom-Sook Kim”)
- Preferred Name: Sook
- Age: 28
- Sex: Female
Location: Emergency Department
- History
- Examination
- Viva
Presenting Complaint:
A 28-year-old pregnant woman called Sook presents with severe abdominal pain and vaginal bleeding.
“This morning I just got this really bad belly pain coming on, and also some bleeding from my private parts.”
Symptoms:
- Site: Lower abdomen – "It feels like a stabbing pain deep inside my belly, lower down."
- Onset: Sudden – "It just came on this morning out of nowhere."
- Character: Sharp, intermittent – "It comes in waves, like someone is stabbing me."
- Radiation: None – "No, it’s just in the lower part of my belly, it doesn’t spread anywhere else."
- Associated Symptoms: Nausea, dizziness, PV bleeding – "I feel really nauseous and a bit dizzy too. I’ve also had some blood from my vagina, around a small cupful.”
- Timing: Constant, with intermittent worsening – "It hasn’t stopped, but it gets worse at times, especially when I move."
- Exacerbating and Relieving Factors: Movement worsens, rest doesn’t help – "Moving or standing makes it worse, but lying down doesn’t make it better."
- Severity: Severe, 9/10 – "It’s really bad, I can hardly stand it, I feel like I might pass out."
Gynae History
- Last menstrual period was 6 weeks ago - is aware that she is pregnant and has tested positive at home (she has a regular partner and is a planned pregnancy)
- Menarche at 13 years old, periods are regular every 4 weeks, not usually very painful
- G1P0
- No previous pregnancies
- No previous miscarriages
- Sexually active with regular partner
- Does not use any form of contraception
- Up to date with cervical screening
Systemic Symptoms:
- Fatigue: No
- Fever: No
- Night Sweats: No
- Unintended Weight Loss: No
- Chest or Shoulder Tip Pain: Notes some shoulder tip pain
- Shortness of Breath or Cough: No
- Oedema: No
- Rashes or Skin Changes: No
- Headache: No
- Mood Changes: No
- Sleep Disturbances: No
- Change in Bowel Habits: No
- Urinary Symptoms: No
Past Medical History:
- Medical Conditions:
- Endometriosis, otherwise no significant past medical conditions or chronic diseases.
- No previous surgeries, injuries or hospitalisations.
- No known psychiatric disorders.
- Fully vaccinated, including flu and COVID-19 vaccinations.
Drug History:
- Medications:
- None.
- Contraception:
- No current use of contraception.
- Overdose incidents:
- None.
- No known allergies.
Family History:
- Mother: Hypertension, mild osteoarthritis.
- Father: Type 2 diabetes.
- Grandmother: Breast cancer (remission).
Social History:
- Lifestyle:
- Usually smokes 2 cigarettes a day, but has stopped while pregnant.
- Drinks socially, 4-5 units per week.
- Eats a balanced diet, avoids heavy, oily foods.
- Engages in light exercise, such as walking.
- Office worker, predominantly desk-based job.
- No recreational drugs
Travel History:
- No recent travel outside of the country.
Ideas, Concerns, and Expectations:
- Ideas:
- "I think something might be wrong with the baby, that’s why I’m bleeding."
- Concerns:
- "I’m really scared this might be something serious for me and the baby."
- "I don’t want to lose the pregnancy."
- Expectations:
- "I just want to know what’s going on and if the baby is okay."
Physical Examination: Perform an appropriate examination (should offer chaperone for intimate examination).
Observations:
- Respirations: 18 breaths/min (0 points)
- Oxygen Saturation: 97% on room air (0 points)
- Blood Pressure: 110/70 mmHg (0 points)
- Pulse: 92 beats/min (1 point)
- Consciousness: Alert (0 points)
- Temperature: 36.8°C (0 points)
- NEWS Total Score: 1
- General Inspection:
- Mild pallor noted.
- Holding her abdomen and bending over in pain
- No obvious signs of dehydration.
- No visible scars, bruising, or injuries.
- Hands:
- No tar staining or clubbing.
- Capillary refill time < 2 seconds.
- Pulse slightly tachycardic but regular.
- Arms:
- No excoriation, scarring, or bruising.
- No needle marks or signs of intravenous drug use.
- Face:
- Slight pallor, no jaundice or other abnormalities.
- Neck:
- JVP not raised.
- No lymphadenopathy or masses.
- Chest:
- No visible abnormalities or pain upon palpation.
- No heart murmurs, lung crackles, or reduced air entry.
- Abdomen:
- Inspection: No scars, skin changes or obvious distension.
- Palpation: Tenderness in the lower abdomen, especially in the right iliac fossa, with voluntary guarding.
- Percussion: No dullness or shifting dullness.
- Auscultation: Bowel sounds present.
Bimanual examination: Adnexal tenderness and cervical motion tenderness on bimanual examination.
Patient Questions:
- “Doctor, what do you think I have?”
Possible Answer: Based on the symptoms you have described and examination findings, I suspect you may have an ectopic pregnancy. This is where the pregnancy implants somewhere outside the womb, commonly in the fallopian tube, which connects the womb to your ovary. We would need to do further tests to confirm the diagnosis but you have done the right thing by coming in. Such tests include imaging to visualise where the pregnancy is, and possibly monitoring your pregnancy hormones through serial blood tests.
- "Is there a chance I could still have a healthy pregnancy?"
Possible Answer: If this is confirmed to be an ectopic pregnancy, then I’m very sorry but the pregnancy would no longer be viable. Because it has implanted in the wrong place, ectopic pregnancies can cause serious harm to yourself, and there is unfortunately no possibility for a healthy pregnancy. For these reasons it is important to terminate the pregnancy: this can be achieved through a conservative ‘watch and wait’ method, medical treatment or surgical intervention if required. There is still a chance you can have a healthy pregnancy after an ectopic pregnancy. I know this is a lot of information to process, and I can give you this information leaflet to have a look at. If you feel you would benefit from further support, we can refer you to patient support groups, such as the Ectopic Pregnancy Trust, or local counselling services.
- "What are the risks to my health if it is an ectopic pregnancy?"
Possible Answer: If not treated appropriately ectopic pregnancy can cause rupture of the fallopian tube, leading to significant bleeding and shock, eventually leading to death in some cases. It is important to identify and treat this early on. Additionally, having an ectopic pregnancy unfortunately does increase your risk for further ectopics in the future, however you should still be able to get pregnant if you wish.
Examiner Questions:
- What are your differentials and why?
Possible Answer:
- Ectopic pregnancy - most likely differential due to the history of pregnancy with symptoms of lower abdominal pain and vaginal bleeding. Must be ruled out in any women presenting with abdominal pain in early pregnancy.
- Appendicitis: Can present similarly with lower/unilateral abdominal pain, rebound tenderness, nausea and vomiting and fever. Should be considered as a differential, however the history of PV bleeding and early pregnancy make ectopic more likely.
- Miscarriage: Occurs in up to one third of pregnancies. Can present similarly to ectopic with vaginal bleeding and abdominal pain occurring in first trimester, however is differentiated with serial beta-hCG titres and TVUS.
- Ovarian torsion: Twisting of the ovary on its ligamentous and vascular axis, causing inadequate blood supply. Can present similarly to ectopic with severe lower abdominal pain, associated with nausea and vomiting, and there should be a high clinical suspicion in patients with these symptoms. TVUS can show torsion and ectopic pregnancy. In this case the history of recent pregnancy and PV bleeding points towards ectopic.

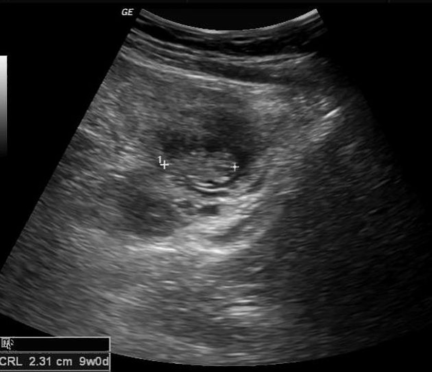
Case courtesy of Frank Gaillard, Radiopaedia.org, rID: 35931

Case courtesy of Maulik S Patel, Radiopaedia.org, rID: 46956
- What are the clinical features that would point to an ectopic pregnancy?
Possible Answer: Ectopic pregnancy occurs early in pregnancy in the first trimester, typically 6-8 weeks after the last menstrual period, and presents with lower abdominal pain and vaginal bleeding. Risk factors include previous ectopic pregnancies, previous tubal surgery, previous genital tract infections and PID, smoking, and IVF. On examination patients may have lower abdominal tenderness and possibly guarding, and adnexal and cervical motion tenderness on pelvic examination. In cases of tubal rupture patients may also present with signs and symptoms of haemodynamic instability, such as hypotension, tachycardia, dizziness. Intraperitoneal bleeding may irritate the phrenic nerve, causing characteristic referred shoulder tip pain.
- What is the management of a patient with confirmed ectopic pregnancy?
Possible Answer:
Below is the criteria for the different management available for those with ectopic pregnancy:
- Expectant management is allowing the pregnancy to terminate on its own and this can only occur when the following criteria are met.
Criteria for expectant management:
- The ectopic needs to be unruptured
- Adnexal mass < 35mm
- No visible heartbeat
- No significant pain
- HCG level < 1500 IU / l
- Medical management involves taking methotrexate as a one off dose intramuscularly.
Criteria for methotrexate use:
- The ectopic needs to be unruptured
- Adnexal mass < 35mm
- No visible heartbeat
- No significant pain
- HCG level must be < 5000 IU / l
- Confirmed absence of intrauterine pregnancy on ultrasound
- Surgery is an alternative and possible management includes laparoscopic salpingectomy or laparoscopic salpingostomy. Indications for surgery are as noted below but should particularly be considered if the foetus has a visible heartbeat on the imaging. Surgery is also indicated in patients with haemodynamic instability, ectopic mass rupture or intraperitoneal bleeding, or those with contraindications to medical therapy. Those undergoing surgical management also require anti-d rhesus prophylaxis to prevent haemolytic disease of the newborn (HDN).
Criteria for surgery:
- Adnexal mass > 35mm
- Visible heartbeat
HCG levels > 5000 IU / l
- Ectopic Pregnancy – Zero To Finals (no date). Available at: https://zerotofinals.com/obgyn/earlypregnancy/ectopic/.
- NICE (2019) Overview | Ectopic Pregnancy and miscarriage: Diagnosis and Initial Management | Guidance | NICE, Nice.org.uk. NICE. Available at: https://www.nice.org.uk/guidance/ng126.
- RCOG (2016) Diagnosis and Management of Ectopic Pregnancy (Green-top Guideline No. 21), RCOG. Available at: https://www.rcog.org.uk/guidance/browse-all-guidance/green-top-guidelines/diagnosis-and-management-of-ectopic-pregnancy-green-top-guideline-no-21/.
- Ectopic pregnancy – Symptoms, diagnosis and treatment | BMJ Best Practice (no date) bestpractice.bmj.com. Available at: https://bestpractice.bmj.com/topics/en-gb/174.
- Gaillard F. Radiopaedia. [cited 2025 Feb 25]. Ectopic pregnancy | Radiology Reference Article | Radiopaedia.org. Available from: https://radiopaedia.org/articles/ectopic-pregnancy?lang=gb